Limpeza e clareamento dental
Benefícios da Limpeza e Clareamento Dental
A limpeza e clareamento dental são procedimentos essenciais para manter a saúde e a estética do sorriso.
Eles não apenas melhoram a aparência dos dentes, mas também promovem benefícios significativos para a saúde bucal.
Investir nesses tratamentos pode resultar em um sorriso mais bonito e saudável.
Além disso, a limpeza e clareamento dental podem impactar positivamente a autoestima dos pacientes.
Um sorriso radiante pode abrir portas em diversas situações sociais e profissionais.
Portanto, entender os benefícios desses procedimentos é crucial para quem busca um sorriso perfeito.
Melhora da Saúde Bucal
A limpeza dental remove a placa bacteriana e o tártaro, prevenindo doenças gengivais.
Isso é fundamental para manter a saúde bucal em dia.
Além disso, o clareamento dental pode ajudar a eliminar manchas que acumulam ao longo do tempo.
Isso contribui para dentes mais saudáveis e limpos.
Por fim, a combinação de limpeza e clareamento dental pode resultar em uma boca mais saudável e livre de problemas.
Aumento da Autoestima
Um sorriso mais branco e limpo pode aumentar a confiança pessoal.
Isso é especialmente importante em ambientes sociais e profissionais.
Quando as pessoas se sentem bem com seu sorriso, tendem a sorrir mais.
Isso pode melhorar as interações sociais e a percepção que os outros têm delas.
Portanto, a autoestima é um benefício significativo que vem com a limpeza e clareamento dental.
Prevenção de Problemas Dentários
A limpeza dental regular ajuda a prevenir cáries e doenças gengivais.
Isso reduz a necessidade de tratamentos mais invasivos no futuro.
O clareamento dental também pode ajudar a identificar problemas dentários ocultos.
Isso permite um tratamento mais eficaz e rápido.
Assim, a prevenção é um dos principais benefícios desses procedimentos.
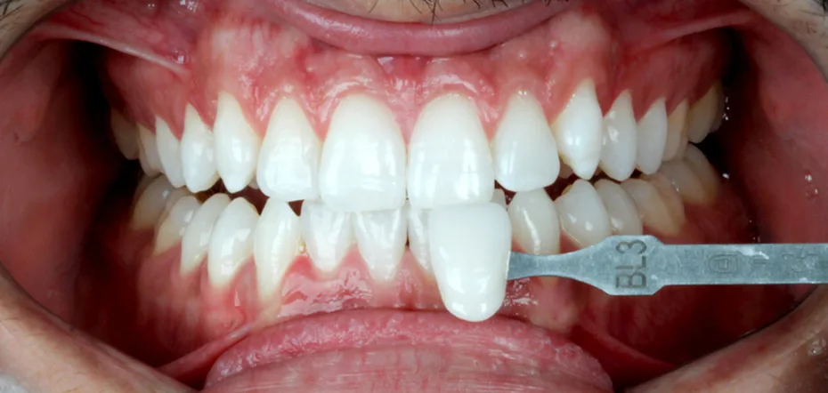
Vantagens do Clareamento Dental
O clareamento dental é um dos tratamentos estéticos mais procurados.
Ele oferece diversas vantagens que atraem pacientes em busca de um sorriso mais bonito.
Com resultados rápidos e visíveis, o clareamento se destaca entre os tratamentos dentários.
Vamos explorar suas principais vantagens.
Resultados Rápidos e Visíveis
O clareamento dental proporciona resultados imediatos.
Após uma única sessão, os dentes podem parecer significativamente mais brancos.
Essa rapidez é um grande atrativo para quem busca uma solução estética eficaz.
Além disso, os resultados podem durar meses, dependendo dos cuidados pós-tratamento.
Procedimentos Personalizados
Os tratamentos de clareamento dental podem ser adaptados às necessidades de cada paciente.
Isso promove que cada sorriso receba a atenção que merece.
Os dentistas podem ajustar a concentração do gel clareador para obter os melhores resultados.
Essa personalização é uma grande vantagem do clareamento dental.
Segurança e Eficácia
O clareamento dental é um procedimento padronizado quando realizado por profissionais qualificados.
Isso promove a eficácia do tratamento sem comprometer a saúde dental.
Os produtos utilizados são testados e aprovados, proporcionando resultados satisfatórios.
Portanto, a segurança é um aspecto fundamental do clareamento dental.
Como Realizar a Limpeza e Clareamento Dental
Realizar a limpeza e clareamento dental requer cuidados específicos.
Seguir as orientações de um dentista é essencial para assegurar resultados positivos.
Abaixo, apresentamos algumas dicas sobre como realizar esses procedimentos de forma eficaz.
Consultas Regulares ao Dentista
É importante agendar consultas regulares ao dentista para avaliações e limpezas.
Isso ajuda a manter a saúde bucal em dia.
As consultas permitem que o dentista identifique problemas precocemente.
Além disso, o acompanhamento profissional é essencial para um clareamento seguro.
Cuidados em Casa
Manter uma boa higiene bucal em casa é fundamental.
Escovar os dentes pelo menos duas vezes ao dia é uma prática recomendada.
Usar fio dental diariamente também é importante para a saúde dental.
Esses cuidados ajudam a prolongar os resultados do clareamento dental.
Produtos Recomendados
Utilizar produtos de qualidade é essencial para a saúde dental.
Escolher cremes dentais com flúor pode ajudar na proteção dos dentes.
Além disso, enxaguantes bucais podem complementar a higiene bucal.
Consultar o dentista sobre produtos específicos para clareamento é uma boa prática.
Conduzindo para a Conversão
Para saber mais sobre limpeza e clareamento dental
Ligue para 11991123643 ou clique aqui e entre em contato por e-mail.
Páginas Relacionadas
Entre em contato agora mesmo!
Clique no botão e entre em contato para tirar dúvidas ou solicitar um orçamento.
Solicitar contatoPrincipais regiões de atendimento:
- São Paulo