Galeria

Clique nas imagens para ampliar

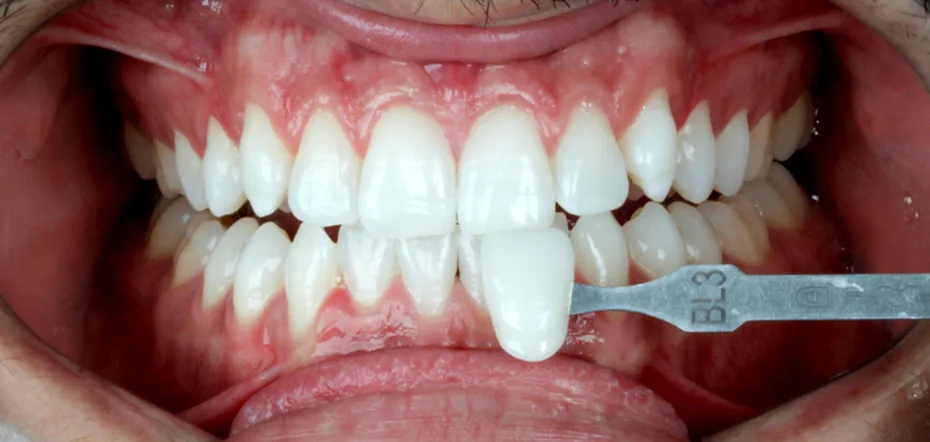
Estética e Brilho com o Dentista para Clareamento Dental São Paulo

Se você está em busca de um dentista para clareamento dental São Paulo, saiba que essa escolha pode transformar seu sorriso de maneira profunda e segura. 

O clareamento dental é um dos procedimentos estéticos mais procurados na capital, pois não apenas melhora a tonalidade dos dentes, mas também fundamenta uma imagem de saúde, higiene e vitalidade no cotidiano.

Um sorriso mais branco e brilhante faz toda a diferença na autoestima. Dentes claros são frequentemente associados ao sucesso e ao cuidado pessoal, abrindo portas em diversas situações sociais e profissionais. 

Ao optar por um suporte especializado, o paciente oferece resultados nítidamente superiores aos métodos caseiros sem supervisão, protegendo a integridade do esmalte dental.

O foco de realizar o tratamento com um dentista para clareamento dental em São Paulo é a segurança biológica. 

Através de um acompanhamento técnico rigoroso, é possível alcançar o nível de brancura desejado minimizando riscos de sensibilidade excessiva, possibilitando que a transformação do seu sorriso seja uma experiência confortável e gratificante.

Sorriso Radiante e Resultados Eficazes

Os tratamentos profissionais proporcionam resultados visíveis em pouco tempo, sendo ideais para quem busca uma mudança imediata para eventos especiais ou para renovar a autoimagem. 

No consultório, o especialista oferece vantagens essenciais:

  • Impacto Visual Positivo: Remoção de manchas causadas por café, vinho, fumo e tempo;

  • Confiança Elevada: Um sorriso bonito reflete diretamente na postura e na segurança ao falar e sorrir;

  • Agilidade no Processo: Diferente de produtos de prateleira, o clareamento em consultório apresenta efeitos rápidos;

  • Harmonia Facial: Planejamento que considera a tonalidade da pele e a cor natural dos dentes para um resultado equilibrado.

Investir em um suporte especializado em São Paulo permite acesso a tecnologias de ponta, como o clareamento a laser e géis de alta concentração com dessensibilizantes. 

O dentista para clareamento dental em São Paulo personaliza a técnica — seja em consultório, caseira supervisionada ou mista — para que o brilho seja duradouro e condizente com as expectativas de cada paciente.


Vantagens do Suporte Profissional na Capital

Optar por um dentista qualificado na capital paulista traz diferenciais que fundamentam a eficácia do procedimento. 

São Paulo concentra profissionais de renome e clínicas equipadas com o que há de mais moderno na odontologia estética:

  • Tratamentos Personalizados: Avaliação detalhada da condição bucal para definir a melhor concentração de gel;

  • Produtos de Qualidade: Uso de substâncias certificadas que preservam a saúde das gengivas;

  • Acompanhamento e Segurança: Monitoramento profissional para evitar danos aos tecidos moles e sensibilidade;

  • Orientações Pós-Tratamento: Guia completo de cuidados para manter o sorriso branco por muito mais tempo.

O processo começa com uma avaliação inicial e diagnóstico, onde o dentista examina se há cáries ou infiltrações que devem ser tratadas antes do clareamento. 

Esse rigor técnico é o que diferencia de um procedimento profissional, possibilitando que o seu investimento em estética seja também um investimento em saúde.

Como Encontrar o Profissional Ideal em SP?

Encontrar o melhor dentista para clareamento dental em São Paulo requer atenção a alguns critérios fundamentais que permitem a segurança do tratamento:

  1. Pesquise Avaliações: Verifique o feedback de outros pacientes nas redes sociais e plataformas de mapas;

  2. Verifique a Formação: Certifique-se de que o profissional possui experiência comprovada em odontologia estética;

  3. Agende uma Avaliação: Utilize a primeira consulta para esclarecer dúvidas sobre os métodos e o nível de clareamento possível.

Após o procedimento, seguir as orientações do especialista, como evitar alimentos altamente pigmentados e manter uma rotina de higiene rigorosa, é fundamental para prolongar o brilho alcançado.

Não deixe para depois o cuidado com o seu cartão de visitas. Agendar sua consulta técnica é o passo decisivo para renovar sua autoestima.

Entre em contato com a Tiger Odontologia e agende sua avaliação detalhada. Descubra como o suporte do dentista para clareamento dental São Paulo pode cuidar do seu sorriso com total dedicação e excelência!

Para saber mais sobre dentista para clareamento dental São Paulo

Ligue para 11991123643 ou clique aqui e entre em contato por e-mail.

Os campos com * são obrigatórios

Entre em contato agora mesmo!

Clique no botão e entre em contato para tirar dúvidas ou solicitar um orçamento.

Solicitar contato

Principais regiões de atendimento:

  • São Paulo