Galeria

Clique nas imagens para ampliar

Importância e Benefícios do Clareamento Dental Perto de Mim

O clareamento dental perto de mim é uma solução eficaz para quem deseja um sorriso mais harmônico e saudável. Este procedimento estético tem ganhado popularidade, pois proporciona resultados rápidos e nítidos.

A conveniência de encontrar um profissional local facilita o acesso ao tratamento de forma prática. O cuidado especializado não apenas melhora a estética da face, mas também traz benefícios emocionais significativos ao paciente.

Muitas pessoas relatam um ganho na autoestima após o tratamento, o que reflete positivamente em diversas áreas. Ao optar por esse cuidado, o indivíduo valoriza sua imagem pessoal com agilidade e proteção.

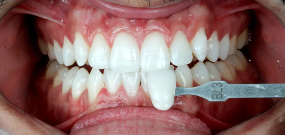
Sorriso mais Brilhante e Atraente

Um sorriso iluminado é um dos principais resultados alcançados com o clareamento profissional. O procedimento remove manchas e descolorações, deixando os dentes com uma aparência saudável e vibrante.

Um sorriso atraente pode abrir portas em situações sociais e na trajetória profissional do paciente. Ter dentes claros destaca os traços naturais do rosto e transmite uma percepção de asseio constante.

Aumento da Autoestima e Segurança

O procedimento pode ser um divisor de águas na forma como a pessoa se percebe no cotidiano. Ao se sentir mais confiante com o próprio sorriso, muitos se tornam mais sociáveis e abertos a interações.

A transformação estética reflete em uma postura muito mais segura diante dos desafios da vida. Estar satisfeito com a própria imagem é um pilar essencial para o bem-estar e o equilíbrio emocional.

Resultados Imediatos e Visíveis no Consultório

Um dos grandes atrativos do método clínico é a velocidade com que as mudanças de tonalidade aparecem. Após uma única sessão técnica, muitos pacientes notam uma diferença expressiva na cor dos dentes.

Isso proporciona uma satisfação imediata e incentiva o zelo contínuo com a saúde da boca. Ver a evolução do sorriso em pouco tempo é um diferencial motivador para quem busca renovar o visual.

Vantagens de Escolher um Profissional Local

Optar por um serviço de clareamento dental perto de mim oferece vantagens que tornam a jornada mais simples. A proximidade geográfica facilita o deslocamento e promove um atendimento focado na conveniência.

Conhecer o dentista da sua região ajuda a criar um ambiente de tranquilidade durante as consultas. O suporte técnico próximo permite que o processo ocorra com monitoramento constante e segurança.

Atendimento Individualizado e Planejamento

Profissionais locais tendem a oferecer um suporte mais próximo e focado nas particularidades de cada um. Isso significa que o dentista pode entender as necessidades biológicas da arcada de forma precisa.

Essa conduta viabiliza um tratamento eficaz e satisfatório para o perfil do paciente atendido. O planejamento sob medida evita o aspecto artificial e mantém a naturalidade da expressão facial.

Facilidade de Acesso e Comodidade na Rotina

Encontrar um dentista próximo é uma estratégia de comodidade para quem possui uma agenda dinâmica. Isso elimina a necessidade de longos trajetos, tornando o agendamento de consultas muito mais simples.

A facilidade para comparecer às sessões clínicas favorece a continuidade do plano de tratamento proposto. Ter o suporte de um especialista por perto valoriza o tempo do paciente e o seu investimento.

Como Utilizar o Clareamento Dental de Forma Eficiente?

Para que o procedimento atinja o objetivo planejado, é fundamental seguir etapas clínicas coordenadas. Desde o encontro inicial até o zelo após as sessões, cada fase é crucial para o sucesso da mudança de cor.

O ponto de partida é o diagnóstico detalhado para verificar a saúde dos dentes e gengivas. Essa conversa franca com o profissional fundamenta a realização de um tratamento seguro para o esmalte.

Cuidados e Manutenção do Novo Brilho

Seguir as orientações técnicas antes e depois do clareamento é indispensável para preservar os resultados. Isso inclui evitar alimentos com corantes intensos que possam manchar as estruturas recém-clareadas.

Manter uma higiene bucal rigorosa ajuda a prolongar os efeitos positivos por um período longo. O uso correto da escova protege a estética alcançada e favorece a saúde biológica da boca.

Consultas periódicas e cuidados diários com a limpeza são fundamentais para manter o aspecto radiante. O zelo contínuo com o sorriso é um passo direto para elevar a autoconfiança e valorizar sua beleza.

Entre em contato com a Tiger Odontologia e agende sua avaliação técnica para realizar um clareamento dental perto de mim!

Para saber mais sobre clareamento dental perto de mim

Ligue para 11991123643 ou clique aqui e entre em contato por e-mail.

Os campos com * são obrigatórios

Entre em contato agora mesmo!

Clique no botão e entre em contato para tirar dúvidas ou solicitar um orçamento.

Solicitar contato

Principais regiões de atendimento:

  • São Paulo