Clareamento dental na Vergueiro
Importância e Benefícios do Clareamento Dental na Vergueiro
O clareamento dental na Vergueiro é uma opção excelente para quem deseja um sorriso radiante. Este procedimento estético é procurado por pessoas que buscam valorizar a aparência dos dentes.
Além de proporcionar beleza, o tratamento traz benefícios que impactam o cotidiano. A transformação estética ocorre de forma segura, utilizando produtos que preservam a integridade do esmalte.
A intervenção é realizada em consultório com materiais de alto padrão técnico. Isso permite atingir resultados ágeis, devolvendo o brilho natural e a vitalidade para a face.
Sorriso mais Brilhante e Atraente
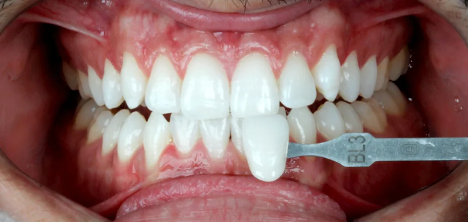
Um sorriso iluminado é frequentemente associado à saúde e ao bem-estar facial. O clareamento dental na Vergueiro remove pigmentações, deixando os dentes muito mais claros.
Isso melhora a estética e proporciona uma aparência rejuvenescida ao paciente atendido. Ter dentes brancos destaca os traços naturais e promove uma expressão muito mais harmônica.
Aumento da Autoestima e Confiança
Com um sorriso renovado, a segurança pessoal do indivíduo tende a elevar de modo nítido. Muitas pessoas sentem-se mais dispostas a interagir socialmente após o procedimento clínico.
Essa confiança impacta positivamente a trajetória profissional e os relacionamentos do paciente. Sentir-se bem com a própria imagem é um pilar para uma rotina mais leve.
Manutenção da Saúde Bucal
O cuidado estético também pode contribuir para o monitoramento da saúde bucal global. Ao remover manchas superficiais, o tratamento auxilia na percepção de limpeza dos dentes.
Um sorriso bem cuidado é fundamental para o equilíbrio biológico do organismo. O processo incentiva o paciente a manter hábitos de higiene muito mais rigorosos e constantes.
Vantagens do Clareamento Dental na Vergueiro
Optar por esse serviço especializado oferece vantagens que tornam a jornada clínica atrativa. O foco está na entrega de resultados eficientes por meio de técnicas consagradas.
Além dos ganhos visuais, as vantagens incluem o suporte de especialistas durante a sessão. Isso possibilita que a mudança de tonalidade ocorra respeitando a sensibilidade de cada arcada.
Resultados Ágeis e Estabilidade da Cor
Um dos maiores atrativos dessa técnica é a rapidez com que as mudanças aparecem. Após apenas uma sessão clínica, é possível notar a diferença na tonalidade dos dentes.
Isso é motivador para quem busca uma transformação imediata para datas ou eventos. A estabilidade da nova cor é favorecida pelo uso de ativos clareadores profissionais.
Planejamento Individualizado
Cada sorriso possui características únicas que exigem um protocolo de atendimento específico. O especialista realiza uma avaliação detalhada para definir o melhor caminho para o paciente.
A escolha do método e do produto leva em conta a biologia de cada pessoa. Essa personalização evita o aspecto artificial e permite um brilho natural para o rosto.
Segurança e Conforto no Atendimento
A proteção dos tecidos bucais é prioridade absoluta durante o tempo de consultório. O processo é conduzido por dentistas qualificados, assegurando conforto em todas as etapas.
Os materiais seguem protocolos rigorosos de biossegurança para proteger o esmalte dental. O suporte profissional evita irritação nas gengivas e preserva as raízes dos dentes.
Como Utilizar o Clareamento Dental na Vergueiro?
O processo é simples, mas requer cuidados específicos para atingir o objetivo planejado. É vital entender as modalidades disponíveis e os cuidados necessários antes da aplicação.
Existem opções como o sistema de consultório para efeitos imediatos e o uso de moldeiras. O dentista indicará a melhor tecnologia para que a cor mude de forma equilibrada.
Cuidados Prévios e Pós-Tratamento
Evitar alimentos com corantes intensos antes de começar ajuda a preparar o esmalte. Após as sessões, seguir as dicas de zelo auxilia na fixação da nova tonalidade clara.
Manter a higiene bucal rigorosa protege o investimento feito em sua estética facial. O uso de produtos recomendados pelo especialista prolonga o aspecto radiante do sorriso.
Dicas para Preservar o Brilho
Após a finalização, é essencial adotar hábitos que ajudem a manter os dentes claros. Evitar bebidas como café e vinhos escuros nos primeiros dias é uma conduta estratégica.
Visitas regulares ao consultório ajudam a monitorar a cor e a saúde das gengivas. Esse acompanhamento técnico previne o surgimento de novas manchas extrínsecas no sorriso.
Escolha a Tiger Odontologia para seu Clareamento!
Se você planeja renovar sua imagem, agendar uma consulta é o primeiro passo ideal. O clareamento dental na Vergueiro pode ser a solução definitiva para destacar sua beleza.
A avaliação inicial permite discutir as expectativas e conhecer as opções de tratamento. Fique atento às oportunidades que facilitam o acesso a esse cuidado estético de qualidade.
Não perca a chance de transformar sua fisionomia e elevar sua autoconfiança agora mesmo. Entre em contato com a Tiger Odontologia e agende sua sessão para iluminar seu sorriso!
Para saber mais sobre clareamento dental na Vergueiro
Ligue para 11991123643 ou clique aqui e entre em contato por e-mail.
Páginas Relacionadas
Entre em contato agora mesmo!
Clique no botão e entre em contato para tirar dúvidas ou solicitar um orçamento.
Solicitar contatoPáginas Relacionadas
Principais regiões de atendimento:
- São Paulo