Galeria

Clique nas imagens para ampliar

Motivos para Realizar o Clareamento a Laser e Seus Impactos

O clareamento a laser é um procedimento estético que proporciona resultados ágeis e eficientes. Este tratamento é ideal para quem busca um sorriso mais branco e atraente em poucas sessões.

Além da estética, o método oferece benefícios que vão além da aparência, como a remoção de pigmentos profundos. Explorar os pontos positivos desse cuidado ajuda a entender como ele valoriza o rosto.

A técnica utiliza luz para potencializar a ação dos agentes clareadores sobre o esmalte dental. Ao optar pelo clareamento a laser, o paciente investe em uma transformação visível e segura.

Resultados Ágeis e Visíveis

Um dos maiores atrativos do clareamento a laser é a velocidade com que a cor se transforma. Logo após a sessão, é possível notar uma diferença nítida na tonalidade dos dentes.

Os efeitos aparecem imediatamente, o que motiva quem deseja um sorriso brilhante em pouco tempo. Essa agilidade é um diferencial para quem possui compromissos sociais ou profissionais urgentes.

Ter dentes mais claros renova a expressão facial e confere um aspecto mais saudável. O brilho recuperado destaca o sorriso de forma harmônica e equilibrada com a face.

Segurança e Conforto Durante o Atendimento

O procedimento é realizado por profissionais qualificados, o que protege a integridade das gengivas. O uso de recursos atuais minimiza incômodos e preserva a estrutura dos dentes.

Os materiais utilizados possuem alto padrão, assegurando que o processo ocorra sem riscos ao esmalte. O suporte técnico é o que permite uma mudança de cor uniforme e protegida.

Melhora na Autoestima e Confiança

Um sorriso claro possui um impacto significativo na forma como o indivíduo se percebe. Muitas pessoas relatam sentir-se muito mais seguras após realizarem o clareamento a laser.

Essa melhora na autoimagem influencia positivamente diversas áreas da vida pessoal. Sentir-se bem ao sorrir facilita a comunicação e fortalece a presença em reuniões e eventos.

Vantagens do Clareamento a Laser Frente a Outros Métodos

O clareamento a laser se destaca por oferecer vantagens técnicas em relação aos métodos caseiros. Vamos entender por que essa escolha é estratégica para quem busca eficiência.

Enquanto outros tratamentos levam semanas, o laser oferece efeitos que podem ser vistos na hora. Além disso, o controle profissional reduz as chances de sensibilidade dental exagerada.

Durabilidade e Estabilidade dos Resultados

Os efeitos do clareamento a laser tendem a permanecer estáveis por um período prolongado. Com o zelo adequado, o paciente mantém o brilho do sorriso por muito tempo.

Isso ocorre devido à capacidade da luz em auxiliar na remoção de manchas persistentes. A limpeza profunda das estruturas dentais favorece uma tonalidade clara e duradoura.

Personalização Completa do Tratamento

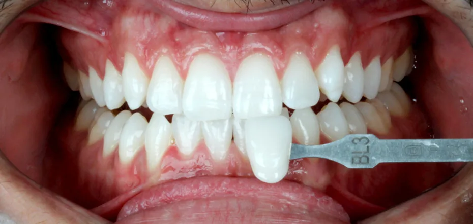
Cada arcada é única, e o clareamento a laser permite que o dentista ajuste a intensidade. O profissional calibra o tempo de exposição conforme a sensibilidade e o objetivo de cada um.

Essa abordagem sob medida permite que os resultados sejam condizentes com o perfil do paciente. O planejamento individualizado é a base para um sorriso natural e sem manchas.

Como Realizar o Clareamento a Laser com Segurança?

Para obter o melhor do clareamento a laser, é fundamental seguir etapas clínicas organizadas. Cada fase do processo é importante para que a cor final seja harmônica e bonita.

Avaliação Dental Completa e Prévia

Antes de iniciar, é essencial passar por uma análise minuciosa com o dentista de confiança. Isso auxilia na identificação de cáries ou infiltrações que precisem de cuidado antes do laser.

O Que Esperar Durante a Sessão Clínica

Durante o atendimento, o paciente pode relaxar enquanto o especialista aplica o gel e a luz. O tempo de duração é breve e focado em atingir a tonalidade desejada com precisão.

Cuidados e Manutenção Pós-Tratamento

Após o clareamento a laser, seguir as recomendações do dentista ajuda a prolongar a cor branca. Evitar bebidas com corantes fortes nos primeiros dias é vital para fixar o resultado.

Manter uma rotina de higiene rigorosa protege o investimento feito na estética do sorriso. O uso correto da escova e visitas periódicas mantêm os dentes sempre radiantes.

Transforme Seu Sorriso na Tiger Odontologia!

Desejar um sorriso renovado é o primeiro passo para elevar sua autoconfiança e imagem pessoal. O clareamento a laser surge como a ferramenta perfeita para atingir esse objetivo com rapidez.

Fique atento a oportunidades de avaliação que facilitam o acesso a esse cuidado especializado. Muitas clínicas oferecem condições que tornam o procedimento mais prático para o seu dia.

Não perca a chance de valorizar o seu rosto com dentes mais claros e iluminados. Entre em contato com a Tiger Odontologia e agende sua consulta para transformar o seu sorriso!

Para saber mais sobre clareamento a laser

Ligue para 11991123643 ou clique aqui e entre em contato por e-mail.

Os campos com * são obrigatórios

Entre em contato agora mesmo!

Clique no botão e entre em contato para tirar dúvidas ou solicitar um orçamento.

Solicitar contato

Principais regiões de atendimento:

  • São Paulo