Clareamento dental com moldeira
Importância e Benefícios do Clareamento Dental com Moldeira
O clareamento dental com moldeira é uma técnica que ganha destaque na odontologia estética moderna. Esse método proporciona dentes mais claros, oferecendo vantagens que renovam a autoestima de quem opta por ele.
Os efeitos são nítidos e podem ser preservados por muito tempo, desde que o processo seja conduzido corretamente. A seguir, vamos explorar os principais pontos positivos que envolvem essa modalidade de tratamento.
Ao escolher o clareamento dental com moldeira, o indivíduo investe em sua imagem de forma prática. O uso de géis específicos permite a remoção de pigmentos, revitalizando o tom original do sorriso.
Aumento da Autoestima e Segurança Social
Um sorriso iluminado é um dos fatores que mais contribuem para a confiança pessoal no cotidiano. Ao clarear os dentes, muitas pessoas sentem-se mais seguras para sorrir em fotos e reuniões.
Essa mudança de percepção reflete na forma como o paciente interage em ambientes sociais e profissionais. Sentir-se bem com a própria estética bucal é um pilar para o bem-estar emocional.
Além do ganho visual, o tratamento permite resultados estáveis por um longo período na arcada. Isso depende diretamente dos cuidados com a higiene e da manutenção orientada pelo especialista.
Vantagens do Clareamento Dental com Moldeira
Além dos ganhos já citados, o clareamento dental com moldeira apresenta diversas vantagens técnicas. Vamos analisar por que esse sistema é tão procurado por quem deseja dentes brancos.
Diferente de kits genéricos, este é um tratamento individualizado para cada paciente atendido. Cada dispositivo é feito sob medida para se ajustar perfeitamente à anatomia dental da pessoa.
Esse método é bastante prático, pois permite que o indivíduo realize as sessões no conforto de casa. Isso proporciona maior flexibilidade na rotina e controle sobre o tempo de uso do gel.
Custo-Benefício e Praticidade do Método
O clareamento dental com moldeira apresenta um equilíbrio financeiro atraente para o paciente. Ele pode ser uma alternativa viável frente a outros procedimentos realizados integralmente em consultório.
A flexibilidade de horários é um diferencial para quem possui uma agenda profissional muito agitada. O acompanhamento profissional em etapas garante que o processo ocorra com total proteção
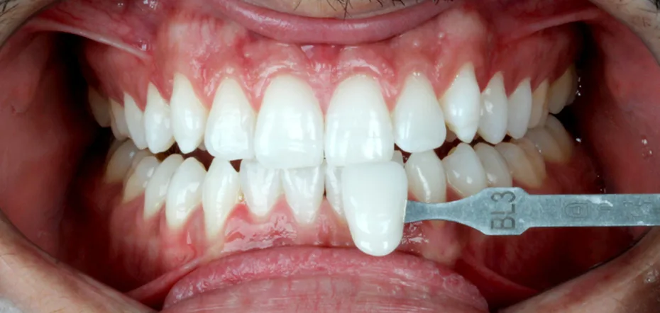
Como Utilizar a Moldeira para Clareamento Dental?
Utilizar o dispositivo para o clareamento é um processo simples, mas que exige atenção técnica. Apresentamos um roteiro básico para auxiliar na eficácia e proteção das gengivas durante o uso.
O primeiro passo envolve carregar o dispositivo com a quantidade exata de gel clareador indicada. Em seguida, basta inserir a peça na boca, ajustando-a suavemente sobre os dentes da arcada.
Orientações para Melhores Resultados
É fundamental deixar o produto agir apenas pelo tempo estipulado pelo dentista na consulta. Evitar alimentos que mancham os dentes logo após a aplicação auxilia na fixação da nova cor.
Manter uma higiene bucal rigorosa diariamente protege o esmalte e potencializa o brilho do sorriso. Realizar o tratamento conforme as normas técnicas é o segredo para evitar sensibilidade.
Cuidados Importantes Durante o Período
Seguir as instruções do especialista durante as semanas de tratamento é indispensável para a saúde. Isso inclui não exceder o limite de uso e evitar bebidas escuras como café e vinhos.
O monitoramento profissional identifica qualquer necessidade de ajuste na concentração do gel utilizado. Esse suporte evita irritações nos tecidos moles e preserva a integridade das raízes dentárias.
Transforme seu Sorriso com a Tiger Odontologia!
O clareamento dental com moldeira pode ser a solução ideal para quem busca dentes bonitos e saudáveis. Muitas pessoas relatam grande contentamento com a mudança visual atingida por essa técnica.
Comparado a outros métodos, o sistema com dispositivos individuais se destaca pelo conforto térmico e adaptação. Isso o torna uma opção atraente para quem deseja clarear sem sair da rotina.
A peça ideal deve ser confeccionada em consultório odontológico após um escaneamento ou moldagem precisa. É vital consultar um dentista qualificado para assegurar que o material seja eficiente.
Investir na estética dental é um passo direto para elevar a autoconfiança e o asseio pessoal. Não deixe de considerar essa técnica para transformar sua expressão e destacar a sua beleza.
Entre em contato com a Tiger Odontologia e agende sua avaliação para o clareamento. Descubra como podemos auxiliar você a conquistar o sorriso iluminado que você sempre desejou!
Para saber mais sobre clareamento dental com moldeira
Ligue para 11991123643 ou clique aqui e entre em contato por e-mail.
Páginas Relacionadas
Entre em contato agora mesmo!
Clique no botão e entre em contato para tirar dúvidas ou solicitar um orçamento.
Solicitar contatoPrincipais regiões de atendimento:
- São Paulo