Clareamento dental com led
Importância e Benefícios do Clareamento Dental com LED
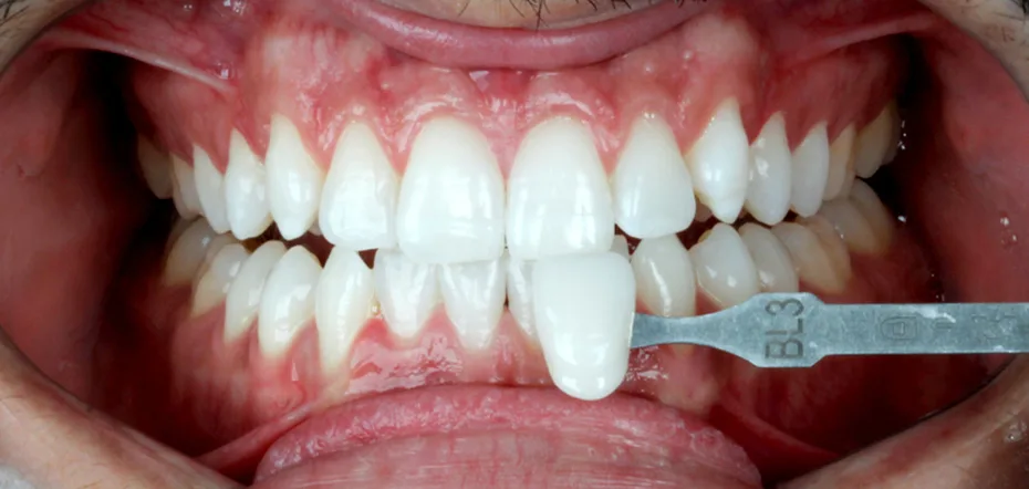
O clareamento dental com LED é uma técnica que tem conquistado adeptos por sua praticidade. Este procedimento estético é ideal para quem busca um sorriso mais branco de forma rápida.
Além de proporcionar resultados nítidos em pouco tempo, o método é uma solução segura para o esmalte. Ao longo deste artigo, vamos explorar como essa técnica pode renovar a sua expressão facial.
A luz atua como um catalisador para o agente clareador, permitindo que a cor mude sem agressões. Ao optar pelo clareamento dental com LED, o paciente investe em um visual mais saudável.
Sorriso mais Iluminado em Pouco Tempo
Um dos maiores atrativos dessa técnica é a velocidade com que a tonalidade dos dentes se transforma. Em uma única sessão clínica, é possível notar uma diferença expressiva na cor da arcada.
Esse procedimento é ideal para quem possui compromissos urgentes ou deseja melhorar a estética rapidamente. A agilidade do LED motiva o paciente a manter o cuidado com a higiene bucal em dia.
Ter dentes claros renova a fisionomia e confere um aspecto vibrante ao rosto do indivíduo atendido. O brilho recuperado destaca o sorriso de maneira equilibrada e harmônica com os traços faciais.
Procedimento Focado na Preservação
O clareamento dental com LED é um tratamento que respeita a integridade das estruturas dentais. Isso significa que não há necessidade de desgastes, preservando a força natural do esmalte.
Os materiais utilizados são certificados, o que viabiliza um processo eficiente sem comprometer a saúde. O suporte técnico é o que permite uma mudança de cor uniforme e totalmente protegida.
Vantagens do Clareamento Dental com LED
Além dos ganhos visuais, o clareamento dental com LED apresenta vantagens que o tornam uma escolha popular. A tecnologia utilizada é moderna e foca na eficiência de cada sessão no consultório.
A luz fria acelera o processo químico, permitindo que o objetivo seja atingido em menos tempo de cadeira. Essa evolução constante assegura um tratamento clínico pautado na segurança do paciente.
Controle da Sensibilidade Dentária
Um dos grandes receios de quem busca clarear os dentes é o desconforto térmico ou a sensibilidade. No entanto, este método é conhecido por causar menos incômodos durante e após a aplicação.
Isso se deve à formulação equilibrada dos géis e à precisão da luz, que minimiza a irritação. O paciente consegue realizar o procedimento de forma tranquila e sem dores persistentes.
Planejamento Individualizado
O clareamento dental com LED pode ser adaptado às necessidades biológicas de cada arcada dental. O dentista ajusta a concentração do produto e o tempo de exposição conforme cada caso.
Essa personalização permite que o tratamento atenda às expectativas de brancura de forma natural. O planejamento sob medida é o que define um resultado estético superior e duradouro.
Como Realizar o Clareamento Dental com LED?
Para atingir os melhores efeitos, é fundamental seguir etapas clínicas coordenadas pelo especialista. Seguir o fluxo correto do tratamento ajuda a manter a saúde das gengivas e dentes.
O processo começa com uma análise detalhada da boca para verificar se há cáries ou infiltrações. Após essa checagem, o gel é aplicado e a luz LED entra em ação para ativar o brilho.
Cuidados e Manutenção dos Resultados
Evitar alimentos com corantes intensos antes e logo após o tratamento é essencial para fixar a cor. Seguir as recomendações do dentista ajuda a prolongar o aspecto radiante por muito mais tempo.
Manter a limpeza rigorosa da boca auxilia na preservação do investimento feito na estética facial. O uso correto da escova e visitas periódicas mantêm o sorriso sempre limpo e iluminado.
Dicas para Maximizar o Brilho
-
Evite bebidas escuras, como café e vinhos, nos primeiros dias após a sessão;
-
Mantenha uma rotina de higiene bucal com produtos indicados pelo profissional;
-
Utilize o fio dental diariamente para evitar o acúmulo de pigmentos entre os dentes.
Escolha a Tiger Odontologia para Seu Tratamento!
Se você está considerando o clareamento dental com LED, aproveite as facilidades disponíveis em nossa clínica. Oferecemos um suporte técnico focado no seu conforto e na precisão dos resultados.
Fique atento às oportunidades que podem tornar o acesso a esse cuidado muito mais prático e ágil. Ter um sorriso renovado impacta positivamente a sua autoestima e as suas relações pessoais.
Não perca a chance de transformar a sua imagem com dentes mais claros e um brilho natural. Entre em contato com a Tiger Odontologia e agende sua sessão para renovar seu sorriso!
Para saber mais sobre clareamento dental com led
Ligue para 11991123643 ou clique aqui e entre em contato por e-mail.
Páginas Relacionadas
Entre em contato agora mesmo!
Clique no botão e entre em contato para tirar dúvidas ou solicitar um orçamento.
Solicitar contatoPáginas Relacionadas
Principais regiões de atendimento:
- São Paulo