Galeria

Clique nas imagens para ampliar

Importância e Benefícios do Clareamento Dental para Estética do Sorriso

O clareamento dental para estética do sorriso é um procedimento que transforma a aparência dos dentes de forma expressiva. Além de proporcionar dentes mais brancos, ele traz uma série de benefícios que valorizam o rosto.

Um sorriso iluminado pode elevar a percepção de saúde e vitalidade em qualquer idade. Essa mudança visual impacta positivamente a forma como o paciente se projeta em ambientes coletivos.

Ao investir no clareamento dental para estética do sorriso, o indivíduo prioriza seu bem-estar e imagem. O tratamento remove pigmentos indesejados, devolvendo a luminosidade natural ao esmalte dental.

Aumento da Confiança e Segurança Pessoal

Dentes mais brancos possuem o potencial de elevar a autoestima de maneira nítida no cotidiano. Quando o paciente se sente satisfeito com a própria imagem, sua segurança pessoal se torna maior.

Essa postura reflete em diversas áreas da vida, como no ambiente de trabalho e nas relações. Sentir-se à vontade para sorrir em fotos e reuniões é um passo importante para a saúde emocional.

Dentes bem cuidados são sinônimo de asseio e atenção com a própria higiene bucal. Essa percepção positiva por parte de terceiros facilita conexões muito mais profundas e significativas.

Vantagens do Clareamento Dental para Estética do Sorriso

As vantagens desse procedimento são notáveis para quem busca uma renovação ágil da aparência. O método não só melhora a cor, mas também oferece resultados satisfatórios em poucas sessões.

A tecnologia profissional foca na eficácia sem comprometer a estrutura original dos dentes. Vamos analisar alguns diferenciais que tornam essa escolha atraente para o público.

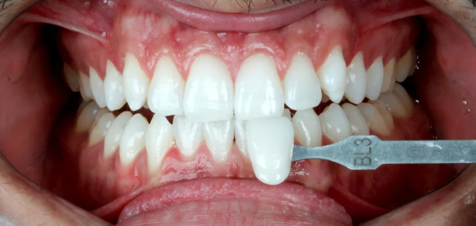
Resultados Visíveis no Consultório

Um dos principais atrativos do tratamento é a velocidade com que as mudanças ocorrem. Após apenas uma sessão clínica, é possível notar uma diferença expressiva na tonalidade da arcada.

Isso é motivador para quem busca uma transformação rápida para datas especiais ou novos projetos. O brilho recuperado destaca os traços naturais da face de maneira equilibrada e natural.

Planejamento Individualizado e Conforto

O clareamento dental para estética do sorriso é adaptado às necessidades biológicas de cada arcada. Os dentistas realizam uma avaliação detalhada para definir o plano de ação ideal.

Isso viabiliza que o procedimento atenda às expectativas de cada paciente de forma protegida. O uso de materiais de qualidade e protocolos rigorosos proporciona um tratamento confortável e seguro.

Como Utilizar o Clareamento Dental para Estética do Sorriso?

Realizar o procedimento com segurança requer atenção técnica e supervisão profissional. É fundamental entender as modalidades disponíveis para escolher a que melhor se adapta à sua rotina.

As opções variam entre a aplicação em consultório para efeitos imediatos e o uso de dispositivos em casa. O dentista indicará se o melhor caminho é uma técnica isolada ou a combinação delas.

Cuidados e Manutenção do Brilho Dental

Antes de iniciar, é essencial realizar uma limpeza clínica para que o gel atue de forma direta. Após as sessões, evitar alimentos com corantes intensos ajuda a fixar a nova tonalidade clara.

Seguir as orientações do especialista é crucial para a estabilidade da cor por um longo período. Manter a higiene bucal rigorosa protege o investimento feito na beleza do seu sorriso.

Dicas para Preservar o Resultado

  • Escove os dentes regularmente com produtos indicados pelo seu dentista;

  • Evite o consumo excessivo de bebidas como café, chás e vinho tinto;

  • Realize consultas periódicas para monitorar a saúde das gengivas e dentes.

Escolha a Tiger Odontologia para seu Tratamento!

Pesquisar sobre a formação e a experiência do dentista é o segredo para a qualidade do tratamento. Certifique-se de que o profissional utiliza materiais seguros e segue normas técnicas de proteção.

O investimento na estética dental é um passo direto para o aumento do bem-estar e da autoconfiança. Um sorriso renovado pode abrir portas e gerar novas oportunidades em sua trajetória.

Entre em contato com a Tiger Odontologia e agende sua avaliação para transformar o seu visual. Descubra como o clareamento especializado pode valorizar a estética do seu sorriso!

Para saber mais sobre clareamento dental para estética do sorriso

Ligue para 11991123643 ou clique aqui e entre em contato por e-mail.

Os campos com * são obrigatórios

Entre em contato agora mesmo!

Clique no botão e entre em contato para tirar dúvidas ou solicitar um orçamento.

Solicitar contato

Principais regiões de atendimento:

  • São Paulo